2026年01月21日/ 浏览 78

尺骨撞击综合征(UIS)主要症状为腕部尺侧疼痛,抓握力下降,腕关节活动范围受限,它是腕部尺侧疼痛的主要原因之一。UIS是由于尺骨头长期反复撞击三角纤维软骨复合体(TFCC)和月骨、三角骨,导致TFCC退变、穿孔,月骨、三角骨及尺骨头软骨软化、骨髓水肿、囊变,甚至坏死的一种退行性疾病。UIS发生主要原因是各种因素导致的尺骨阳性变异如桡骨远端骨折畸形愈合、桡骨先天性发育不全等,也与从事腕部活动较多的工作如体操、棒球运动等有关,部分患者存在尺骨中性变异,甚至负变异,但存在TFCC发育薄弱、慢性劳损等也会导致UISS

1.1 TFCC
UIS常合并TFCC损伤。TFCC组成包括三角纤维软骨(TFC)、半月板同系物、尺侧副韧带、桡尺远端掌背侧韧带、尺三角韧带、尺月韧带、尺侧腕屈肌腱鞘、桡尺三角韧带等,其中TFC是其主要结构。TFCC具有稳定下尺桡关节、传递轴向负荷、缓冲尺骨头对腕骨的撞击等作用。研究表明, TFCC厚度与其缓冲能力呈正相关;UIS患者TFCC负荷增大,尺骨头长期反复撞击,使得TFCC变薄、穿孔,缓冲能力降低,尺骨头对月骨、三角骨压力增大,MRI或腕关节镜检查多可见TFCC损伤。
1.2下尺桡关节
尺骨阳性变异是UIS最主要的病因。腕关节处的力量主要由桡骨和尺骨共同承担,正常情况下以桡骨为主,一日出现尺骨阳性变异,尺骨承受压力会显著上升。有研究表明,在尺骨缩短2mm后屈曲位尺骨远端负荷从14%下降到5%,尺偏位尺骨远端负荷从14%下降到9%,旋前位尺骨远端负荷从10%下降到0%; 在缩短3mm时下降更加明显
2.1临床症状与查体
UIS主要症状为尺腕关节疼痛,握拳、旋前及尺偏时可加重这是由于旋前可增加尺骨阳性变异而尺偏时尺侧腕关节间隙变窄,尺骨头更易与月骨、三角骨发生撞击而产生疼痛症状。其他症状包括抓握力下降、活动范围减小等。UIS患者查体可出现尺腕应力试验阳性及尺腕背侧压痛阳性,也可出现腕关节弹响等。
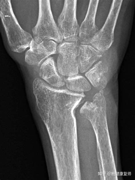
2.2影像学检查

影像学检查以X线和MRI检查最具价值,通过X线检查可以判断尺骨变异类型并测量变异值发现月骨、三角骨骨质硬化和囊变,并排除骨折、腕关节炎等其他疾病。标准腕关节后前位X线检查时应保持行腕关节中立位,即肩关节外展90°肘关节屈曲90°,前臂呈中立位。若中立位未发现尺骨阳性变异,可在握拳、腕部旋前位时再次摄片,此时由于桡骨围绕尺骨旋转,导致其相对变短,部分患者可出现尺骨阳性变异。Jung等[8研究发现,前臂旋转时,尺骨变异可增加1.34mm。MRI检查可以发现月骨软骨软化及骨髓水肿等早期改变,也可以诊断TFCC损伤,具有较高的灵敏度和特异度。研究发现,UIS患者月骨软骨软化多发生在月骨掌侧,合并TFCC中央凹损伤的患者月骨软骨软化范围更大。
2.3腕关节镜检查
目前腕关节镜检查是诊断UIS的金标准。腕关节镜下可以直接观察到腕关节软骨微小损伤、滑膜增生、TFCC撕裂等病变,同时镜下可以进行关节腔清理、TFCC清除或损伤修复,还可以行 Wafer 术。
UIS以手术治疗为主,保守治疗可用于早期症状较轻患者。UIS保守治疗可通过佩戴支具、限制腕部活动、口服非甾体类抗炎药及局部封闭等缓解腕关节疼痛,但通常效果有限,无法根治,多需进行手术。目前常用的手术方式有尺骨短缩截骨术(USO)、Wafer术、腕关节镜下清理术、桡骨截骨矫形术等,目的是消除尺骨阳性变异,稳定下尺桡关节,减少尺骨头对月骨、三角骨的撞击频率及减轻其撞击力量。
引用自:郭旺,邹宾,景森浩,等. 尺骨撞击综合征诊疗进展[J]. 国际骨科学杂志,2022,43(2):75-78. DOI:10.3969/j.issn.1673-7083.2022.02.003.